특별한 수술 전 검사시스템

수연세의 검사는 무엇이 다른가?

수연세안과에서의 검사가 타병원과 구분되는 뚜렷한 차이는 다음과 같습니다.

01
모든 수술 검안값은 주치의의 직접적 검안으로 결정됩니다.
2004년 개원 이래 21년 이상을 단 한 분도 빠짐없이 검안사가 아닌 의사의 직접 검안으로 수술을 진행했다는 것은 단순히 검안의 정확도를 높이는 것만을 의미하지 않습니다.

이는 저희 병원의 identity를 의미하는 동시에, 환자에 대한 저희 병원 의료진의 마음가짐이 어떠한지를 가장 잘 나타내는 실제 예라 하겠습니다.
02
각막의 미세한 형태학적 특이성 및 이상을 찾아내는데 특화되어 있습니다.
단순히 시력만 좋아지게 하는 것을 목표로 하지 않습니다.
저희 의료진은 이를 넘어서, 더 깨끗한 시력의 질, 그리고 자연스럽고 편안한 시력을 위해 필요한 그 미세한 차이를 찾아내고자 끊임없이 노력합니다.

이를 위해 미세한 각막의 형태이상을 EX500 과 아마리스 레이저와 연동하여 교정할 수 있는 가장 상위의 특화 장비를 모두 갖추고 있는 유일한 병원입니다.
Sightmap

Sightmap

퍼스널아이즈 수술을 가능하게 하는
각막 지형 및 안구 수차 측정 장비

Topolyzer Vario

Topolyzer Vario

컨투라 비전 수술을 가능하게 하는
각막 지형도 측정장비

EX500 과 연동하여 각막이상을 교정할 수 있는 특수 검사 장비
MS39

MS-39

커스텀아이즈 수술을 가능하게 하는
각막위의 불규칙 난시 (고위수차) 만을 특화하여
측정하는 장비. OCT 및 Placido ring기반

Sightmap

Sirius

커스텀아이즈 수술을 가능하게 하는 각막위의
불규칙 난시 (고위수차) 만을 특화하여
측정하는 장비. Scheimpflug 및 Placido ring 기반

아마리스 레드와 연동하여 각막이상을 교정할 수 있는 특수 검사 장비
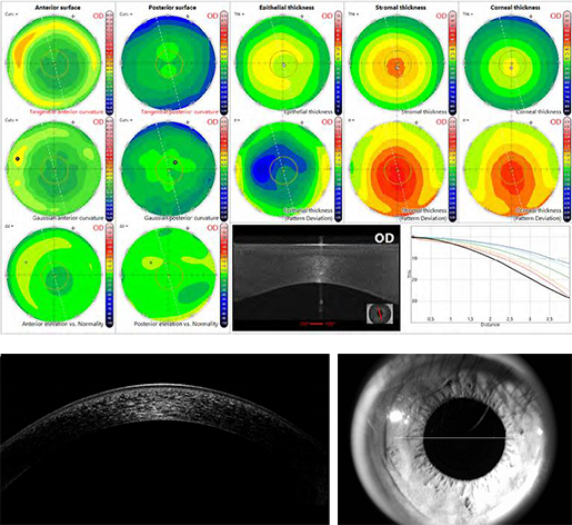
03
각막의 상피 두께를 집중적으로 검사합니다.
각막두께는 수술 후 가장 심각한 부작용인 각막확장증(원추각막)의 발생 가능성을 평가하는데 중요한 지표이지만, 각막의 세밀한 특성을 반영하는 데에는 한계가 있습니다. 저희 의료진은 각막의 전체 층 두께는 물론, 각막의 상피 층 두께를 따로 정밀하게 측정할 수 있는 특수 장비를 보유하고 있으며, 상피 두께 분석을 통해 각막의 미세한 이상을 미리 발견하고, 불규칙 난시를 억제하는 데에 활용하고 있습니다.
04
눈물층의 상태를 집중적으로 검사 분석하기 위해 리피뷰를 사용합니다.
눈물 상태는 건조함 만을 보기 위한 것은 아닙니다. 눈물의 상태는 수술의 순간에도 직접적인 영향을 줄 수 있기 때문에, 본원은 쉬르머 테스트와 같은 단순한 눈물 분비량만을 측정하는데 그치지 않고, 눈물의 질을 세밀하게 분석할 수 있는 최첨단 장비인 리피뷰를 사용하여, 수술 후 합병증을 줄이는 것은 물론, 수술 자체의 완성도를 높이고 있습니다.
리피뷰는 눈물 상태에 큰 영향을 주고 있는 마이봄샘의 전체 촬영을 가능하게 하여, 보다 근본적인 건조증의 해결 방법을 디자인할 수 있게 해 줍니다.
05
안내렌즈삽입술 / 백내장 수술의 정확도를 높이기 위한 초정밀 전안부 단층 촬영 장비를 보유하고 있습니다.

Anterion

MS-39

RTVue

검사장비 자세히 보러가기